
A bacterial gum infection, also known as periodontal disease, can start subtly but quickly progress into a serious oral health concern. Early signs might go unnoticed, but without treatment, this condition can lead to gum recession, tooth loss, and even affect your overall health. Seeking periodontal disease treatment in New Orleans promptly can prevent complications and restore gum health. But what does a bacterial gum infection actually look like? Let’s explore the symptoms, stages, and available treatments.
Early Symptoms of a Bacterial Gum Infection
In its earliest stage, a bacterial gum infection is referred to as gingivitis. It often presents with mild symptoms, which may include:
- Red, swollen, or tender gums
- Bleeding during brushing or flossing
- Persistent bad breath or a bad taste in the mouth
At this stage, the infection is still reversible with professional cleaning and improved oral hygiene. However, many people dismiss these early signs, allowing the infection to progress to periodontal disease, which is more serious.
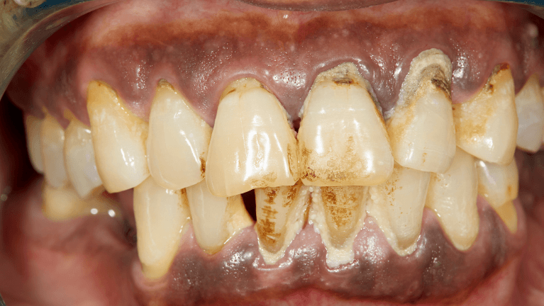
What Does Advanced Periodontal Disease Look Like?
As the infection advances, symptoms become more noticeable. Periodontal disease may cause:
- Gums pulling away from the teeth (recession), creating "pockets" where bacteria thrive
- Loose or shifting teeth
- Pain while chewing or sensitivity in the teeth
- Visible pus between the teeth and gums
- Changes in your bite or how your teeth fit together
In advanced stages, untreated periodontal disease can lead to bone loss in the jaw, causing irreversible damage.
Can Periodontal Disease Affect Overall Health?
Yes, the effects of periodontal disease extend beyond the mouth. Studies have shown links between gum disease and systemic health conditions, including heart disease, diabetes, and respiratory infections. Bacteria from infected gums can enter the bloodstream, causing inflammation in other parts of the body. This is why seeking periodontal disease treatment in New Orleans is not just about saving your teeth—it’s about protecting your overall health.
How Is a Bacterial Gum Infection Diagnosed?
Dentists and periodontists use several methods to diagnose gum infections. During a dental exam, they will look for signs like swelling, redness, and gum recession. X-rays may be taken to check for bone loss, and a periodontal probe is used to measure the depth of gum pockets. If the pockets are deeper than normal, it’s a clear sign of periodontal disease.
In New Orleans, advanced diagnostic tools are often available to assess the severity of gum infections and create customised treatment plans.
What Are the Treatment Options for Periodontal Disease?
The type of treatment depends on the stage of the infection. Early-stage gingivitis can often be treated with professional cleaning and improved at-home care. For more advanced periodontal disease, treatments may include:
- Scaling and Root Planing: A deep cleaning procedure that removes bacteria and smooths root surfaces to help gums reattach to the teeth.
- Antibiotics: Topical or oral antibiotics may be used to control bacterial growth.
- Surgical Procedures: For severe cases, options like flap surgery or bone grafts may be necessary to repair damage and prevent tooth loss.
In New Orleans, many dentists offer state-of-the-art periodontal disease treatments that address both the symptoms and the underlying causes of gum infections.
How Can You Prevent Bacterial Gum Infections?
Preventing gum infections starts with good oral hygiene. Brushing twice a day, flossing daily, and visiting your dentist regularly for cleanings and check-ups are essential. Lifestyle factors like quitting smoking and maintaining a balanced diet also play a significant part in keeping gums healthy.
For those at a higher risk of gum disease, such as individuals with diabetes or a family history of periodontal issues, dentists in New Orleans may recommend more frequent cleanings or specialised care to prevent infections.
When Should You Seek Periodontal Disease Treatment in New Orleans?
If you’re experiencing any signs of a bacterial gum infection—redness, swelling, bleeding, or gum recession—it’s time to see a professional. Early intervention can save your teeth and protect your oral and overall health. Waiting too long can lead to more extensive treatments and permanent damage.
Get Expert Periodontal Care in New Orleans
At Downtown Dental, we provide comprehensive periodontal disease treatment to address gum infections at every stage. Located at 307 Tchoupitoulas St., Ste 200, New Orleans, LA 70130, our experienced team uses advanced techniques to restore gum health and protect your smile.
Don’t wait for gum problems to worsen. Call us at (504) 528-7800 or request an appointment online today. Let us help you achieve healthier gums and better overall oral health.